Du pusser tennene. Du bruker tanntråd en gang i blandt. Du føler deg ganske trygg.
Og så… blør det litt. Men det er vel “normalt”, er det ikke? Mange tenker det. Og akkurat der ligger problemet:
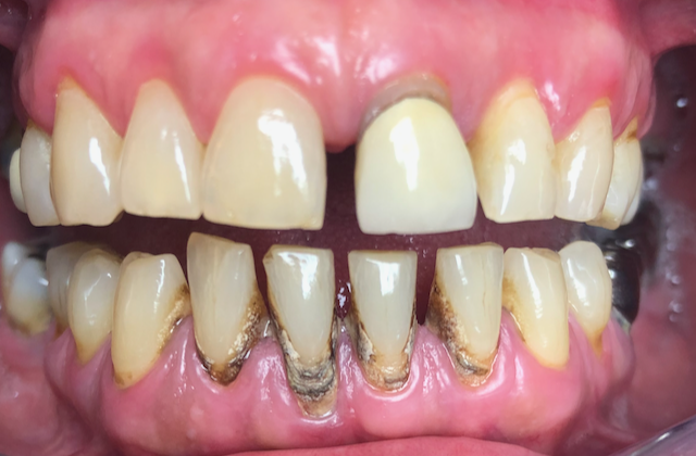
Tannkjøttsykdom starter ofte stille. Den roper ikke. Den hvisker. Noen ganger bare i form av litt blod på tannbørsten.
Som tannpleier møter jeg folk som blir genuint overrasket når jeg sier:
“Blødning er tegn på sykdom i tannkjøttet.”
De svarer som regel: “Er det det? men jeg har jo ikke vondt.”
Nettopp!!!
La oss gjøre det enkelt, folkelig – og litt brutalt ærlig: Blod er et signal. Et blødende tannkjøtt ber om hjelp til å få fjernet bakterier og infeksjon!

Ordforklaringer
Gingivitt - reversibel tannkjøttbetennelse
Gingivitt betyr betennelse i tannkjøttet rundt tenner. Den vanligste årsaken er enkel: bakteriebelegg (plakk) som får stå i fred for lenge. Dette kan oppstå etter bare 14 dager med dårlig eller manglende renhold.
Kjennetegn: Rødt og hovent tannkjøtt som blør lett.
Den gode nyheten: Gingivitt er reversibelt. Tannkjøttet blir friskt når du får fjernet årsaken som består av bakterier og tannstein.

Periodontitt - kronisk betennelse med tap av bein
Periodontitt eller tannkjøttbetennelse er en irrreversibel, kronisk infeksjonssykdom. Infeksjonen har gått videre fra tannkjøttet og begynt å angripe festet og beinet rundt tennene.
Det er her det blir alvor: Beinet som forsvinner, kommer normalt sett ikke tilbake.
Målet med behandlingen er å stoppe eller bremse sykdommen, slik at du kan beholde tennene livet ut. Periodontitt utvikles i det stille uten at du egentlig merker så mye. Først når tannen har mistet mesteparten av beinfestet og tannen blir svært løs, kan smertene melde seg.
Jeg vil også gjøre oppmerksom på at gingivitt og periodontitt også angriper implantater. Da heter det peri-mucositt (gingivitt) og peri-implantitt (periodontitt).

Hvordan vet jeg om jeg har tannkjøttsykdom?
Her er tegnene du faktisk skal se etter:
- Blødning ved tannpuss eller ved renhold av mellomrom
- Tannkjøtt som er rødt eller hovent
- Vedvarende dårlig ånde eller dårlig smak
- Tannkjøtt som trekker seg tilbake
- Mellomrom som blir større
- Tennene føles løse eller endret i bittet
- Puss fra tannkjøttet eller verkebyll

Hvorfor gjør det ikke vondt?
Fordi periodontitt utvikles langsomt og er en kronisk prosess. Kroppen vender seg til betennelsen og nervene roper sjelden "au" slik som hull i tennene.
Det er derfor jeg kaller det en "usynlig " sykdom.
Er du alene?
Nei, absolutt ikke!!!
Tannkjøttplager er noe av det vanligste vi ser. Det anslås at omtrent halvparten av verdens befolkning har gingivitt i perioder. Mange går rundt med det uten å vite det, helt til de ser blod på tannbørsten og tenker “jaja, sånn er det vel bare”.
Når det gjelder periodontitt, øker risikoen med alderen. Tallene varierer litt, men det er ofte nevnt at rundt 60 % av de over 60 år har periodontitt i en eller annen grad.
Og dette er viktig: For folk over 45 år er periodontitt en av de vanligste årsakene til at tenner går tapt. Ikke fordi det alltid gjør vondt, men fordi det kan utvikle seg stille over tid.
Setter vi det i et større perspektiv: Karies (hull) er den vanligste ikke-smittsomme sykdommen i verden.
Periodontitt ligger også veldig høyt på listen, ofte omtalt som en av de mest utbredte sykdommene globalt. Det høres dramatisk ut, men poenget er egentlig bare dette: Du er ikke “unormal” om du har tegn på tannkjøttsykdom. Du er i et stort flertall.
Og ja, periodontitt regnes som kronisk. Det betyr ikke at du er “dømt”. Det betyr bare at vi må jobbe med infeksjonskontroll: stoppe utviklingen, redusere betennelsen og holde det stabilt med riktig behandling og oppfølging.
Det har også skjedd mye de siste årene. Det finnes nye hjelpemidler som i noen tilfeller, sammen med riktig behandling, få bedre støtteforhold rundt tennene. Det er ikke sånn at “ben alltid gror tilbake”, men for noen kan man faktisk oppnå bedring. Hva som er realistisk, må vurderes individuelt.

Hva kan du gjøre selv?
Du trenger ikke en haug med fancy utstyr, du trenger rutiner og system.
1. Puss tenner 2 ganger om dagen
- Puss 2 minutter
- Puss systematisk
- Puss langs tannkjøttskanten
2. Rengjør mellom tennene hver dag - ja, jeg vet... det er den setningen folk hater å høre.
- Mellomromsbørster
- Gummistikkere
- Tanntråd for de unge med trange mellomrom (Har du periodontitt fungerer sjelden tanntråd)
3. Se etter blødning - ta det på alvor
- Blør det når du rengjør? Da er det ikke fordi du pusser for "hardt". Da er det fordi du har betennelse.
4. Slutt å gi tannstein gratis leieplass
- Tannstein irriterer tannkjøttet og påvirker tannkjøttsykdom negativt, det får en ru overflate der bakterier trives meget godt. Til tross for nøye renhold vil du ikke kunne fjerne tannstein, oppsøk derfor en tannpleier som kan hjelpe deg med å fjerne de gratis leietakernerne. Tannpleier hjelper deg også med tilpassede renholdsrutiner som hindrer at tannstein kommer raskt tilbake.
5. Livsstil som faktisk påvirker tannkjøttet
- Røyking/Snus øker risiko for infeksjon og skjuler blødning i tannkjøttet.
- Stress og dårlig søvn kan påvirke immunforsvaret og vaner
- Sykdommer som f.eks diabetes, hjerte- og karsykdommer kan gi økt sårbarhet

Når bør du oppsøke tanpleier eller tannlege?
Oppsøk hjelp hvis du har ett eller flere av disse tegnene:
- Blødning som ikke gir seg etter 1 - 2 uker med nøye renhold
- Dårlig ånde eller dårlig smak
- Tannkjøttet trekker seg tilbake
- Større mellomrom
- Mistanke om løse tenner eller endret bitt
- Implantat med ømhet/blødning (mucositt kan raskt bli mer alvorlig hvis det ignoreres)
Det handler om å være tidlig ute, så ta disse tegnene på alvor.
Når behandler sjekker om du har tannkjøttsykdom måler hen lommer rundt tann eller implantat. Lommemålet utgjør avstanden mellom tannkjøttskanten og ned til festet kjevebein rundt tannen. Når målet overstiger 4mm med blødning er periodontitt et faktum.
4 mm lommer oppfattes ikke som så mye, men det utgjør faktisk ca 1/3 av hele tannroten. Hvis man ikke gjør en systematisk jobb vil enda mer bein forsvinne og tannen vil til slutt gå tapt.
Hvem skal du oppsøke hvis egeninnsats ikke hjelper?
Hvis du har skjerpet tannpussen og bruker mellomromsbørster daglig, men tannkjøttet fortsatt blør, er rødt eller du bare ikke føler du får det til, da er det på tide å få profesjonell hjelp. Du skal ikke “stå alene” med dette.
Start gjerne hos en tannpleier. Tannpleiere er spesialister på forebyggende tannhelse: vi jobber med å oppdage tidlige tegn på tannkjøttsykdom, måle tannkjøttlommer og blødning, fjerne tannstein, og ikke minst hjelpe deg med å finne en renholdsrutine som faktisk fungerer i din hverdag. Mange trenger ikke “mer viljestyrke”, de trenger en plan som er realistisk, riktig teknikk og litt oppfølging.

Du kan også oppsøke tannlege, spesielt hvis du samtidig har andre problemer som ising, hull, smerter eller gamle fyllinger som må vurderes. Ofte samarbeider tannlege og tannpleier tett.
Har du ikke fast behandler, kan du spørre venner og familie om anbefalinger. Du kan også bruke vurderingssider som Legelisten.no for å få et inntrykk av erfaringer andre pasienter har hatt.
Ved mistanke om mer alvorlig tannkjøttsykdom kan tannlege/tannpleier henvise deg til periodontist - en tannlege med spesialistutdanning i sykdommer i tannkjøttet og vevet rundt tennene.

Flere grunner til å sjekke tannkjøttet
Det er flere grunner til å sjekke tannkjøttet annet enn dårlig ånde og blottlagte tannhalser.
Nyere forskning har funnet sammenhenger mellom periodontitt og sykdommer som Alzheimer, kreft og hjertesykdom.
Forskning pågår stadig og for deg som pasient er det viktig å oppdage eventuell sykdom i munnen tidlig.
Ikke vent på symptomer
For deg som ikke har noen tydelige tegn, er det likevel lurt å starte nå med gode renholdsrutiner.
Det er ingen grunn til å vente til en sykdom er et faktum. Jo tidligere du får inn vaner som faktisk fungerer i hverdagen, jo større er sjansen for at du forebygger tannkjøttproblemer senere.
Det handler ikke om å være “perfekt”, men om å være jevn og konsekvent over tid.

Det viktigste å merke seg i denne artikkelen
Periodontitt er en sykdom du kan ha lenge uten å merke det - du kan stoppe den når du oppdager den.
det er derfor jeg maser om blødning, ikke for å skremme deg, men fordi det er et av de få tydelige tegnene kroppen faktisk gir deg tidlig.
- Gingivitt/mucositt: betennelse som kan reverseres med god hygiene og oppfølging
- Periodontitt: kronisk infeksjon som kan gi bentap og i verste fall tanntap.
- Blødning er ikke normalt: kroppens signal om infeksjon
- Mellomsromsbørster hver dag er den største game-changeren
- Oppsøk tannpleier/tannlege dersom tegnene på sykdom vedvarer eller du merker endring
En siste oppfordring og noe jeg aldri kan få sagt for ofte: Start med gode rutiner tidlig. Dersom du er i tvil på hvordan dine rutiner bør se ut, oppsøk en tannpleier som kan hjelpe deg med å tilpasse ditt renholdsregime.